Incredible results and inspiring journeys – see some of our patients' before and after photos next time you visit our practice.
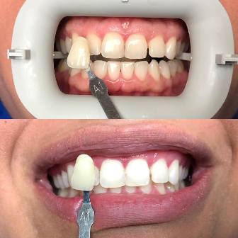
BEFORE & AFTER with ZOOM WHITENING

Incredible results and inspiring journeys – see some of our patients' before and after photos next time you visit our practice.
BEFORE & AFTER with ZOOM WHITENING
